В останнє десятиліття завдяки бурхливому розвитку комп’ютерних технологій і впровадженню їх в діагностичному медичному обладнанні, стала можливим рання і точна діагностика онкологічних захворювань. Якщо донедавна така можливість була лише у мешканців столиці, то сьогодні нею може скористатися кожен волинянин у медичному центрі «Благомед». Еластосканування проводиться за допомогою експертного класу ультразвукового сканера Siemens Acuson S2000, обладнаний спеціальною функцією з визначенням ступеню еластичності тканини. Цей метод отримав назву еластографія.
Еластографія – найновіша та перспективна технологія в ультразвуковій діагностиці
Еластографію називають «віртуальною пальпацією». Еластичні (пружні) властивості тканини змінюються при різних захворюваннях. За допомогою ультразвукового датчика досвідчений лікар ніби «прощупує» орган.
Проведені в останні роки дослідження довели, що комплексне використання традиційного ультразвукового дослідження разом з еластографією підвищує чутливість УЗД в діагностиці раку до 95,5 %.
Технологія еластографії заснована на особливостях еластичності тканин. На тканину, яка досліджується, створюється додатковий тиск, після чого оцінюється зміна частоти та швидкості поширення звуку в тканині. Неоднорідні елементи тканини реагують на стискання по різному внаслідок різної структурної щільності, що відтворюється на екрані зміною зображення та відхиленням цифрових параметрів еластичності.
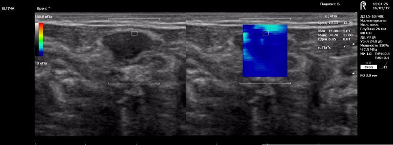
Після комп’ютерної обробки інформація передається на екран монітора, де ділянки з різними механічними властивостями відображаються різним кольором. Таке зображення називається «еластограма». В досліджуваному об’ємі тканин можливо провести кількісні вимірювання і, шляхом порівняння з еталонними значеннями, зробити висновок про наявність патології і її характер. Більш жорсткі тканини відображаються червоним, а м’які — синім кольором. Висока жорсткість утвору при проведенні еластографії свідчить про високу вірогідність його злоякісного походження.
За допомогою еластографії можливо розділити пацієнтів на 2 великі групи: які потребують біопсії і які підлягають динамічному спостереженню.
Використовуючи еластографію, вдається мінімізувати кількість «інвазивних» втручань, які можуть супроводжуватися рядом ускладнень. В разі виявлення утворень з задовільними критеріями еластометрії, пацієнти підлягають моніторингу відповідно до стандартних протоколів і алгоритмів діагностики.
Таким чином, основним завданням еластографії є диференціальна (розмежувальна) діагностика між доброякісними і злоякісними утвореннями таких органів: молочна залоза, щитоподібна залоза, лімфатичні вузли, поверхнево розташовані м’які тканини.
Ехограми
Breast fibroadenoma (доброякісна пухлина)

Breast cancer (злоякісна пухлина)

Іншим дуже важливим призначенням еластографії є оцінка пружних властивостей паренхіми печінки у пацієнтів з хронічними гепатопатіями (захворюваннями печінки). При тривалому хронічному запальному процесі в органі можливий розвиток сполучної тканини, тобто фіброз. Від його важкості залежить прогноз перебігу хвороби і, найголовніше, схема лікування.
Біопсія печінки є «золотим стандартом» оцінки фіброзу і його стадіювання, а також активності некро-запального процесу. Але вона має ряд недоліків, в тому числі, ймовірність ускладнень. Зразок тканини, взятий для морфологічного дослідження, дуже малий і представляє 1/50 000 об’єму всього органу.
P.S. Тож тим, хто дбає про власне здоров’я, цінує свій час та бажає отримувати якісні медичні послуги, варто завітати до медичного центру «Благомед».
Світ змінюється і хвороби також. Але завдяки сучасним діагностичним методам ми можемо дати відсіч цим загрозам.
Підготувала лікар ультразвукової діагностики Парейко Л.П.